Bücco - Guide ortho
Instructions d’hygiène avec un appareil orthodontique

Instructions d’hygiène avec un appareil orthodontique

Instructions d’hygiène

  • Il est très important de brosser vos dents et vos gencives après chaque repas. Si un seul excellent brossage doit être fait chaque jour, il faut privilégier celui du soir, avant le coucher.
  • L’utilisation du dentifrice n’est nécessaire qu’une à deux fois par jour. Les autres fois, un nettoyage avec la brosse seule est suffisant.
  • L’utilisation de la soie dentaire est nécessaire une fois par jour, le soir de préférence.
  • S’il vous est impossible de brosser vos dents après un repas, assurez-vous de bien rincer votre bouche avec de l’eau. Il est très pratique de traîner en tout temps sur soi une brosse à dent et du dentifrice de format voyage.

L’action mécanique de la brosse est ce qui déloge la plaque dentaire et les débris alimentaires qui restent après chaque repas. La plaque dentaire est un biofilm collant qui s’accumule sur les dents avec le temps et qui est composé de bactéries, de débris alimentaires et de salive. Quand de la plaque dentaire et des débris alimentaires sont laissés sur les dents et autour des boîtiers, ceux-ci peuvent, avec le temps, causer le développement de caries, l’inflammation des gencives, une mauvaise haleine et parfois même des taches permanentes sur les dents.

Une brosse conventionnelle à poils souples permettra de faire un très bon travail. Par contre, si vous possédez ou voulez vous procurer une brosse à dent électrique, celle-ci donnera également d’excellents résultats. Votre brosse à dent ou embout de brosse électrique devra être changé un peu plus fréquemment que normalement, car les boîtiers useront plus rapidement les soies de la brosse.

Brossage des dents

La technique de brossage est importante. Vous allez voir ci-dessous quelques images montrant la technique recommandée.

Placez la brosse au-dessus et sous les boîtiers et brossez avec un mouvement circulaire plusieurs fois.

 

Les soies doivent recouvrir légèrement la gencive près des dents et celle-ci doit être brossée doucement.

Toutes les surfaces de chaque dent doivent être brossées. Un brossage efficace doit durer 2 minutes. Il est important également de brosser doucement la langue et le palais.

Utilisation de la brosse interproximale

En plus du brossage, une brosse interproximale en forme de sapin (Proxa-brush) va pouvoir compléter le brossage de façon plus précise. Il permet de nettoyer doucement l’espace entre le fil, les boîtiers et les dents. Le mouvement de la brosse se fait de haut en bas en prenant soin de ne pas aller jusqu’au manche de la brosse-sapin pour éviter d’arracher le fil métallique des boîtiers où il se trouve. Des nettoyeurs interproximaux automatiques ou électriques peuvent également être utilisés (Waterpik® ou Sonicare Airfloss). Ceux-ci sont très efficaces pour déloger les débris alimentaires, éliminer la plaque dentaire et préserver une excellente santé de la gencive.

La soie dentaire

Elle doit être passée au moins une fois par jour, de préférence avant d’aller se coucher. Celle-ci permet de prévenir le développement de caries entre les dents. Pour faciliter le travail, il suffit de s’aider d’un enfileur de soie. Ce dernier s’utilise comme une aiguille à coudre et facilite l’insertion de la soie sous le fil orthodontique, entre chaque paire de dents. Une fois la soie passée sous le fil de métal, on la fait glisser entre les dents de la manière conventionnelle. Il existe également des soies dentaires auxquelles l’enfileur est directement relié. Celles-ci peuvent être pratiques et plus faciles d’utilisation, mais elles permettront de faire le même travail.

Tous les objets présentés dans ce document peuvent être achetés à la pharmacie.

sois-dentaire2sois-dentaire3sois-dentaire1

 

Le rince-bouche

Dans certains cas, un rince-bouche fluoré peut également vous être prescrit et celui-ci devra être employé en complément de l’hygiène bucco-dentaire de base dont la technique a été décrite précédemment.

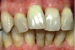
Taches de décalcification et carie dentaire

Si une bonne hygiène dentaire n’est pas appliquée durant votre traitement orthodontique, la plaque dentaire et les débris alimentaires vont s’accumuler autour des boîtiers. Les bactéries contenues dans la plaque dentaire vont réagir avec les sucres et l’amidon de votre alimentation et vont former un acide qui va attaquer l’émail de vos dents, entraînant des taches de décalcifications, des caries et/ou des maladies de gencive.

Ces taches autour des boîtiers peuvent demeurer permanentes si elles sont sévères.

Instructions-d'alimentation3                      Instructions-d'alimentation                         Instructions d'alimentation et d'hygiäne patients version amÇliorÇe

Il est très important, durant tout votre traitement d’orthodontie, de continuer à visiter votre dentiste de façon régulière, c’est-à-dire minimalement aux 6 mois. Ceci vous évitera bien des problèmes.